Mr
Mrs
Ms
Miss
Mx
Dr
Prof
Master
Rev
Sir
Lady
Lord
Dame
Hon
Earl
Judge
Other

At Dr. Doris Clinic, we believe in the power of prevention as the cornerstone of lasting oral health. Our comprehensive services are designed not only to address immediate concerns but to maintain and enhance your smile for years to come. From cutting-edge microscopic dentistry and cosmetic porcelain makeovers to specialized care in periodontology, implantology, and TMJ disorder management, we offer a complete range of advanced treatments. Our expert team also provides oral maxillofacial surgery, endodontics, full mouth reconstruction, and treat difficult problems such as occlusal dysfunction, ensuring every aspect of your dental health is expertly managed under one roof. Trust us to create beautiful, functional smiles with precision and care. Referrals also welcome, Please contact our office for more information.

When it comes to maintaining your overall well-being, your oral health is just as important as any other aspect of your body. At the Dr Doris Clinic, we understand that the foundation of a healthy smile begins with thorough preventive care. That's why we offer the most comprehensive dental check-up using the latest advancements in dental technology.
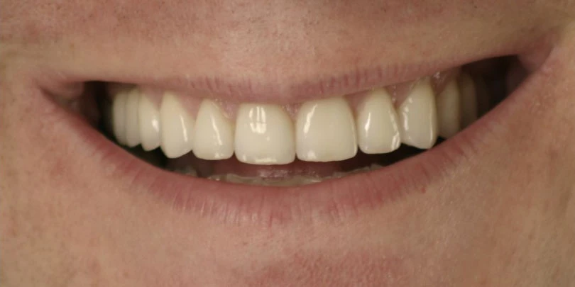
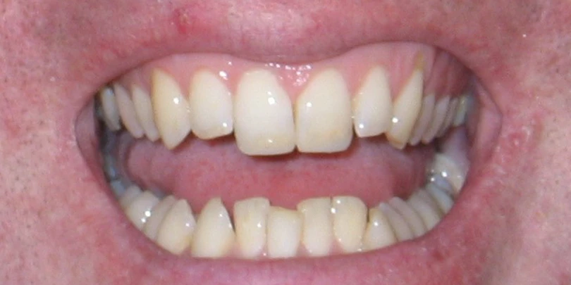
‘Naturally beautiful smile’ porcelain smile make-over using the latest and the best pressed ceramic and zirconia material, hand made under microscope by specialist Italian dentistry technical artists. Exclusively provided by Dr. Doris’ clinics, providing you ‘better than natural’ look, teeth colour that looks alive, with unparalleled accuracy in fit, providing restorations that combines beauty and strength that will be long lasting without compromising your oral health.
In today’s fast-paced world, ensuring that every aspect of your health is meticulously examined is crucial. Our luxury dental service is designed to give you peace of mind by providing the highest level of precision and care. Using state-of-the-art equipment, our comprehensive dental check-up ensures that nothing is overlooked. We believe that the best approach to dental disease is prevention, which begins with an extremely close and thorough examination of your teeth, gums, and overall oral health.
We believe in precision. With our cutting-edge microscopic imaging technology, we can detect even the smallest issues that could be easily missed during a regular exam. This close-up view of your teeth and gums allows us to spot potential problems before they evolve into more significant concerns, helping you maintain a healthier, brighter smile.

Our 3D intraoral scanning provides a complete, detailed view of your entire dentition. This innovative tool allows us to assess not only the health of each tooth but also the alignment of your bite. This technology ensures we capture every angle, giving you a full evaluation that enhances both the health and aesthetics of your smile.
We understand the importance of minimizing exposure to radiation while still providing the most comprehensive diagnostic tools available. That’s why we utilize digital radiographs that offer the clearest images with the lowest dose of radiation. This ensures a safer, more efficient experience for you
Your comfort and health are our top priorities. Our luxury dental practice is dedicated to providing a relaxing and indulgent experience while delivering top-tier oral care. From the moment you walk through our doors, you'll be treated with the highest level of service, from our skilled dental professionals to our spa-like environment. You deserve a dental visit that leaves you feeling rejuvenated, confident, and with the assurance that your smile is in the best hands.

Your oral health is too important to overlook. By choosing the Dr Doris Clinic, you are investing in a thorough, advanced, and luxurious dental experience that will leave your smile healthier than ever. Book your comprehensive dental check-up today and take the first step toward maintaining your beautiful smile for years to come.
Your smile is worth the investment, and our technology-backed, luxury dental care ensures it gets the attention it deserves.
Item Name | Prices | Appointment Time |
|---|
| Targeted Concern Fix - Dental Check-up for Specific Issue (15-20 mins) | 175 | 15 - 20 Minutes |
| Comprehensive Diagnostic Package - Full Dental Check-up with Imaging (1 hour) + Dental Report & Treatment Plan | 500 | 60 Minutes |
| Complete Smile Refresh - Full Dental Check-up with Imaging + Report/Treatment Plan + Dental Hygiene & Whitening | 1150 | 120 Minutes |
| Preventive Oral Maintenance (Annual Option) - 2 x Dental Hygiene & Whitening Sessions per Year (biannual) | 1200 | 120 Minutes |
| Enhanced Preventive Bundle - Full Dental Check-up with Imaging + Report/Treatment Plan + 2 x Dental Hygiene & Whitening (Annual) | 1375 | 180 Minutes |



















